Empowering Discovery Through Custom Solutions

At InnoCyto, we combine deep scientific expertise with advanced biotechnological platforms to support your research and development goals. Our team specializes in the design and production of biofunctional recombinant proteins and highly specific antibodies, complemented by premium-quality conjugation products tailored to your needs.

Every custom project is a collaboration. Our scientists work closely with your team, maintaining open communication, data transparency, and flexibility from design through delivery. Your success is our success.

Our Capabilities

Recombinant Protein Development

Expression and purification of biofunctional proteins with precise structure and activity.

  Learn More

Custom Antibody Generation

Recombinant monoclonal antibodies engineered for superior specificity and affinity with minimal non-specific binding.

  Learn More

Conjugation Services

High-quality labeling and conjugation to enhance detection, targeting, or assay performance.

  Learn More

Cell-Based Assay Development

Cell line development (KO/KD, gene editing, overexpression, etc.), cytotoxicity, proliferation, and much more.

  Learn More

Our Process

Consultation & Design – Define objectives, specifications, and feasibility.
Development & Expression – Construct design and optimized expression in suitable host systems.
Purification & Characterization – Multi-step purification, QC validation, and activity testing.
Delivery & Support – Comprehensive data package and dedicated technical support.

Why Choose InnoCyto?

Deep expertise in recombinant and antibody engineering
Broad range of host systems and conjugation chemistries
Rigorous quality testing and documentation
Fast, flexible turnaround
Scalable production capabilities

Case Highlights

Heterodimer Recombinant Protein Development

Heterodimer protein production is challenging due to low yield and poor purity. In this case, we used two distinct protein tags to enhance purification, and employed a 2A peptide to regulate the α/β heterodimer ratio.

Case Study 2a: Recombinant Ab-Cytokine Chimera Development

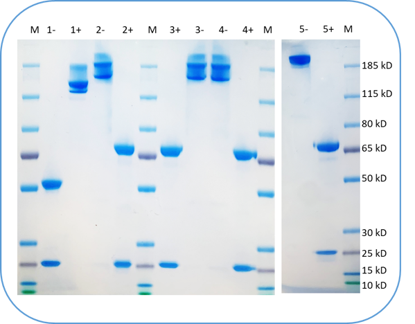
Our team has extensive experience producing recombinant antibodies and derivatives in mammalian systems, achieving high expression yields and verified purity through SDS-PAGE and analytical SEC analyses.

Case Study 2b: Recombinant Ab-Cytokine Chimera Development

Fluorescence Labeled Proteins Development for CAR detection

Our team has extensive expertise in producing fluorescently labeled antibodies and proteins in mammalian expression systems, consistently achieving high yields and confirming purity through SDS-PAGE and analytical SEC analyses. Our site-specific conjugation platform enables precise, uniform labeling while preserving the protein’s biological activity. Every conjugate is engineered for stability, performance, and reproducibility—ensuring your proteins stay active and reliable for downstream applications.
Our team has extensive expertise in producing fluorescently labeled antibodies and proteins in mammalian expression systems, consistently achieving high yields and confirming purity through SDS-PAGE and analytical SEC analyses. Our site-specific conjugation platform enables precise, uniform labeling while preserving the protein’s biological activity. Every conjugate is engineered for stability, performance, and reproducibility—ensuring your proteins stay active and reliable for downstream applications.

Cell-based Assay Development

We offer customized cell-based assay development to support biological activity testing and functional validation. High-quality cell-based assays tailored to your research goals.

Cell-based assay (human melanoma cell line MNT-1) to compare new compound (X) with another compound (positive control). Compound X has better viability and efficacy on inhibiting melanin production.

Ready for Your Custom Solution?

  Request a Quote